Rio de Janeiro – Uma foliã foi atingida por um projétil durante o ensaio do bloco de Carnaval “Me enterra na quarta”, no último sábado (19/3). O caso aconteceu na Praça Paris, na Glória, zona sul do Rio de Janeiro. A mulher foi atingida por uma bala de chumbinho.
Rafaela Ribeiro, de 25 anos, se preparava para o ensaio quando sentiu um impacto abaixo do ombro. De acordo com ela, um médico que também integrava a equipe do bloco deu suporte no momento, mas, com o tempo, a ferida começou a “vazar sangue”.
Rafaela Ribeiro Bloco
Rafaela Ribeiro, de 25, foi atingida enquanto se preparava para ensaio geral do bloco “Me enterra na quarta”
Reprodução/Redes sociais
Rafaela Ribeiro Bloco
Ferida começou a sangrar e jovem procurou um hospital na região
Reprodução/Redes sociais
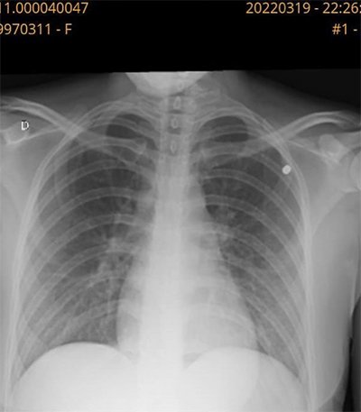
Rafaela Ribeiro Bloco
Radiografia feita por Rafaela no sábado (19/3) mostra projétil alojado no tórax
Reprodução/Redes sociais
0
Ao jornal O Dia, Rafaela diz que foi ao Hospital Glória D’Or e foi informada que, ao toque, era possível sentir um objeto dentro de seu corpo. A radiografia comprovou que um pequeno projétil estava alojado no tórax da jovem.
“Na delegacia, fui encaminhada para o Instituto Médico Legal (IML), onde um perito pediu para que eu retornasse depois que conseguisse retirar o objeto. Amanhã [terça-feira], tenho uma consulta para agendar a retirada e ver se realmente foi uma arma de chumbinho. A gente desconfia que tenha sido porque já aconteceu uma situação parecida na Praça Paris”, contou.
Mais sobre o assunto
Bloco pede ações
Nas redes sociais, o bloco “Me Enterra na Quarta” pede investigações e a prisão do responsável pelo crime. “O fato é gravíssimo e poderia ter sido ainda pior (ou mesmo fatal), se tivesse, por exemplo, cegado alguém ou atingido uma das pequenas crianças que estavam à nossa volta”, diz.
Os representantes do bloco dizem ainda terem feito relação imediata com o caso de dois integrantes de outros blocos, que foram alvejados com tiros de chumbinho há oito meses na mesma localidade.
“Se essa investigação não tiver êxito, todos os frequentadores da Praça (crianças, famílias, turistas, atletas, músicos e moradores do bairro) estarão em risco. Já se somam três vítimas. Quantas mais?”, aponta.
O caso foi registrado na 9ª DP (Catete) e os agentes buscam imagens de câmeras de segurança e fazem diligências para tentar encontrar o autor do disparo.
O post Rio: foliã leva tiro de chumbinho durante ensaio de bloco de rua apareceu primeiro em Metrópoles.



